
Tiroid Kanseri
Tiroid kanserine nadir rastlanır, ancak son yıllarda sıklığı en çok artan kanser türüdür. Kadınlarda erkeklere göre 2.5 kat daha çok rastlanır. Daha önce boyun bölgesinden ışın tedavisi alanlarda ve ailesinde tiroid kanseri olanlarda risk daha yüksektir.
Tiroid kanserleri 4 tiptir. En sık rastlanan tipi papiller kanser (%75-80) ve foliküler kanserdir. Bu kanserler çok yavaş seyir gösterirler ve metastaz gelişen hastalarda bile sağkalım süresi uzundur. Bu nedenle, papiller ve foliküler kanserler “iyi diferansiye” olarak tanımlanırlar. Özellikle papiller kanser, erken evrede saptandığında sağ kalım oranı son derece yüksektir ve bu nedenle cerrahi gibi agresiv tedavilerin gerekliliği bu hasta grubunda sorgulanmaya başlanmıştır. Yirmi yıllık sağkalım oranları genel olarak papiller kanserde %98-99, foliküler kanserde ise %80-90 civarındadır.
Daha nadir rastlanan medüller kanser ve anaplastik kanser ise hızlı seyirlidirler ve sağkalım süreleri daha kısadır. Bu nedenle “kötü diferansiye” olarak tanımlanırlar. Beklenen sağ kalım oranları medüller kanserde 10 yılda %50-75 iken anaplastik kanserde 5 yılda sadece %10 civarındadır.
Nasıl tanı konur?
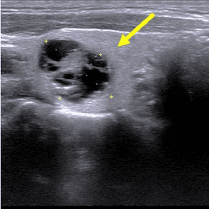
Tiroid bezi kanserleri genellikle belirti vermezler. Guatr nedeniyle takip edilen hastalarda veya başka bir nedenle yapılan boyun ultrasonu sırasında tesadüfen bir nodül şeklinde görülürler. Günümüzde tiroid ultrasonunun yaygın olarak kullanılmasıyla tiroid kanserleri çok daha erken evrede saptanabilmektedir. Ultrasonda saptanan tiroid nodüllerinin çoğu iyi huylu olmakla beraber, bazı ultrason özellikleri nodülün kanser olma ihtimalini artırmaktadır. Bunlar büyüklük, düzensiz kenar, koyu renk, artmış damarlanma, cilde dikey yerleşim ve nodülde kireçlenme alanları olması olarak sıralanabilir. Nodülün ultrason görünümü şüpheli ise ince iğne aspirasyon biyopsisi (İİAB) yapılmalıdır. Ultrason rehberliğinde ve lokal anestezi ile yapılan bu işlemle, nodülün iyi huylu mu yoksa kanser mi olduğu yüksek bir doğrulukla anlaşılabilir. Eğer İİAB kesin sonuç vermezse bir kez daha biyopsi alınmalıdır. İkinci biyopsinin trukat yöntemiyle yapılmasıyla bu tür hastaların çoğunda kesin tanıya ulaşılabilir ve gereksiz operasyonlardan kaçınılabilir.
Tiroiddeki nodülün kanser olduğu anlaşılırsa klasik tedavi cerrahi operasyonla tiroid bezinin alınması ve daha sonra da radyoaktif iyot verilmesidir. Bu agresif tedaviye rağmen, tiroidlerini aldıran hastaların yaklaşık dörtte birinde boyun lenf düğümlerinde kanser tekrarlayabilir. Operasyondan sonra tümör boyun bölgesinde nüks ederse yeniden cerrahi yapılabilir veya ultrason rehberliğinde alkol ablasyonu ya da lazer, radyofekans ve mikrodalga gibi termal ablasyon yöntemleri uygulanabilir. Bu yöntemlerin, bu tür hastalarda lokal tümör kontrolünü sağlayabildiği bir çok çalışmada gösterilmiştir.
Düşük riskli papiller kanser
Tiroid kanserlerinin yaklaşık dörtte üçü papiller kanserdir ve bunların da çok büyük kısmı düşük risklidir. Düşük riskli papiller kanser (mikrokanser de denmektedir), çapı 2cm den küçük olan ve lenf nodlarına ya da tiroid dışına yayılım göstermeyen papiller kanserler olarak tanımlanabilir. Bu tür hastalarda sağ kalım son derece yüksek olup 20 yıllık sağkalım %98 olarak bildirilmiştir. Günümüzde ultrasonografi ve ince iğne aspirasyon biyopsisinin yaygın olarak kullanılması nedeniyle bu tür papiller mikrokanserler çok daha sık olarak teşhis edilmektedir. Tiroid papiller kanser tanısı alan tümörlerin yaklaşık %80-85 inin düşük riskli papiller mikrokanser olduğu düşünülmektedir.
Son derece iyi prognoza sahip olmalarına rağmen, günümüzde papiller mikrokanserler de diğer tiroid kanserleri gibi “agresif” olarak tedavi edilmektedir. Bu tür olgularda standart tedavi hala tiroidin tamamının alınması ve sonra da radyoaktif iyot verilmesidir. Ancak birçok araştırmacı, bu hastalarda tiroidin tamamının alınmasının gereksiz olduğunu, radyoaktif iyotun da yavaş seyirli bu tümörlerde belirgin bir yararı olmadığını düşünmektedir. Hatta bazı çalışmalar bu tür hastalarda tedavisiz takip yöntemini de önermektedir. Japonya’da 1465 düşük riskli papiller kanser hastası ortalama 5 yıl boyunca tedavisiz takip edilmiş ve hastaların sadece %5 inde kanserin büyüme gösterdiği ve sadece %2 sinde lenf düğümü metastazı geliştiği görülmüştür.
Düşük riskli papiller kanserlerde son yıllarda sıkça kullanılan bir diğer tedavi de perkütan ablasyondur. Bu yöntem, cerrahi operasyonun risklerini içermemesi, kanserli tümörü tamamen yok edebilmesi, tiroid bezini koruması ve ayaktan yapılan bir tedavi olması nedeniyle bu tür hastalarda gittikçe daha çok tercih edilmektedir. Literatürde hem alkol ablasyonu, hem de lazer, radyofrekans ve mikrodalga ablasyonları papiller mikrokanserlerde kullanılmış ve başarılı sonuçlar alınmıştır. Perkütan ablasyon, uzun dönem sonuçları kesin olarak bilinmemekle beraber, cerrahi operasyona uygun olmayan ya da cerrahiyi istemeyen papiller mikrokanser hastalarında önemli bir tedavi seçeneği olarak kabul edilmektedir.
Sol tiroid lobunda 11 mm çaplı papiller karsinomu olan 59 yaşındaki kadın hastamıza perkütan kriyoablasyon uygulandı. Dokuz ay sonra, nodül ultrasonda görülememiş ve 1.5 yıllık takip boyunca hastada herhangi bir nüks olmamıştır.
Yukarıdaki avantajlarına rağmen, perkütan ablasyon dünyada çok az sayıda merkezde yapılabilmektedir. Merkezimizde de tiroid kanserine perkütan ablasyon yöntemini 2015 yılından beri sık olarak uygulamaktayız. Bu tedavi için ideal hastalar, tiroid dışına yayılmamış ve boyunda lenf nodu metastazı tesbit edilmemiş olan olgulardır. Ancak daha ağır bir kanseri olan, ya da kalp-akciğer sorunları veya ileri yaş nedeniyle cerrahi operasyona uygun olmayan kişilerde, boyutu ve evresinden bağımsız olarak tüm papiller kanserlere ablasyon uygulayabiliriz.
Tiroid kanserinde perkütan ablasyon tedavisinin avantajları
1. Tiroid içindeki kanserli dokuyu tamamen öldürebilir.
2. Tiroid bezi yerinde kalır.
3. Ameliyatın riskleri yoktur.
4. Boyunda kesi izi olmaz.
5. Hastanede yatış gerekmez, ayaktan yapılan bir tedavidir.
6. İleride herhangi bir nedenle ameliyat gerekirse, ameliyata engel olmaz
Tiroid kanserinde perkütan ablasyon tedavisi
Hangi ablasyon yöntemi daha uygun?
Tiroid kanserinde kriyoablasyon neden avantajlı?
1. Ağrısız olduğundan lokal anestezi ile yapabiliriz.
2. Hastayı konuşturarak işlem sırasında sesini kontrol edebiliriz.
3. Nereyi dondurduğumuzu (ablasyon alanı) işlem sırasında ultrason ve tomografide net olarak izleyebiliriz. Böylece tümörü tamamen kapsadığımızdan emin olabiliriz ve çevredeki damar ve sinirleri daha kolay koruyabiliriz.
4. Ablasyon alanı daha geniş olduğundan boyut olarak daha büyük kanserleri de tedavi edebiliriz.
5. Kas, kıkırdak ve bağ dokusuna zarar vermediğinden bu dokulara komşu tümörlerde daha emniyetlidir.
Biyopside tiroid kanseri şüphesi varsa ne yapmalı?
Tiroid ince iğne biyopsilerinin önemli bir kısmında (%10-40 arası) patoloji sonucunda kanser şüphesi çıkar. Bu şüphe, Bethesda adı verilen bir sınıflamaya göre derecelendirilir. Bethesda 3 de (AUS/FLUS) nodülün kanser olma ihtimali %5-15, Bethesda 4 de (foliküler neoplazm ya da şüphesi) %15-30 ve Bethesda 5 de ise (kanser şüphesi) %60-75 arasındadır. Biyopsi sonucu bunlardan birisi gelirse, hastaya ya tiroidin alınması ya da kısa aralıklarla takip ve biyopsi önerilir. Ancak her iki seçenek de hasta açısından sıkıntılı bir süreci başlatır. Hasta ameliyat olursa, hem tiroidini kaybedecek ve ömür boyu ilaç kullanacaktır hem de patoloji sonucu büyük ihtimalle iyi huylu geleceğinden boşuna ameliyat olmuş olacaktır. Takip+biyopsi seçeneğinde ise, hastada yıllarca belli aralıklarla biyopsi yapılacaktır. Bu durumda çeşitli ihtimaller söz konusudur: Hastaların çoğunda, yapılan biyopsilerin bir kısmı şüpheli bir kısmı da iyi huylu (benign) gelir ve hasta yıllarca endişe içinde yaşar. İlk biyopsiden sonraki tüm biyopsiler iyi huylu gelse de kanser şüphesi tam olarak ortadan kalkmayacaktır. Diğer taraftan, hastaların küçük bir kısmında yıllar sonra hastanın kanser olduğu anlaşılır. Ancak bu durumda da tedavide geç kalınmış olabilir. Bu nedenlerle, tiroid biyopsi sonucu şüpheli gelen hastalarda, nodülün boyutu uygunsa ve lenf bezlerine yayılma yoksa perkütan ablasyon tedavisi uygulamayı tercih ediyoruz. Bu yaklaşımın, hem eğer kanserse hastanın erkenden tedavi edilmesini sağlayacağını, hem hastayı kanser şüphesi ile yaşamaktan kurtaracağını hem de tiroidin gereksiz yere alınmasına engel olacağını düşünüyoruz.
Tiroid kanserleri en sık bölgesel lenf düğümlerine, akciğer ve kemiklere metastaz yaparlar. Klasik tedavi, olabiliyorsa metastazları cerrahi yöntemlerle almak ve radyoaktif iyot tedavisi uygulamaktır. Son yıllarda, lenf nodu metastazlarının radyofrekans, lazer ve alkol gibi ablasyon yöntemleriyle tedavi edilebileceği bazı çalışmalarda gösterilmiştir. Aynı şekilde, tiroid kanserinin akciğer, karaciğer ve kemik gibi uzak organ metastazları da ablasyon ve kemoembolizasyon gibi yöntemlerle tedavi edilebilirler.