Kriyoablasyon

Radyofrekans, mikrodalga ve lazerin aksine, kriyoablasyon dokuyu ısıtarak değil dondurarak tahrip eden bir ablasyon yöntemidir. Bunun için, çok yüksek basınçlı Argon gazı kriyoablasyon iğnesinin içindeki ince bir kanaldan geçirilip iğnenin tam ucunda serbestleştirilir. Argon gazının basıncının aniden düşmesi dokuda eksi 40-80 derecelere varan bir soğutma yaratır. Joule-Thompson etkisi denen bu olayda, kriyoablasyon iğnesinin çevresinde bir buz topu (iceball) oluşur. Bu buz topu tümörde buz kristallerinin oluşması, damarların tıkanması ve apopitoz sonucu yaygın bir doku ölümüne yol açar.

Kriyoablasyon, tıpta kalp ritm bozukluklarının giderilmesinde, bazı dermatolojik hastalıkların tedavisinde ve ilaçlara dirençli ağrıların giderilmesinde de kullanılan bir yöntemdir. Ancak, en yaygın kullanım alanı tümörlerin dondurularak tahrip edilmesidir. Kriyoablasyon ilk olarak prostat ve böbrek tümörlerinin tedavisinde kullanılmış ve uzun yıllar sadece bu alana sınırlı kalmıştır. Bunun nedenleri, o dönemde kriyoablasyon iğnelerinin kalın olması, soğutmada Argon gazı yerine sıvı nitrojen kullanılması ve hekimlerde de henüz yeterli tecrübenin olmaması olarak sıralanabilir. Ancak 2000 li yıllarda soğutmada Argon gazının kullanılması ve perkütan tedaviye uygun çok ince (17 gauge) iğnelerin üretilmesiyle kriyoablasyon adeta yeniden keşfedilmiştir. Yeni jenerasyon kriyoablasyon ilk olarak girişimsel radyologlar tarafından karaciğer tümörlerinde kullanılmıştır. Sonuçlar oldukça iyi olmakla beraber, karaciğerde radyofrekans ve mikrodalga gibi başarılı ve daha ucuz yöntemlerin kullanılabilmesi nedeniyle kriyoablasyon karaciğer tümörlerinde çok popüler olmamıştır. Sonraki yıllarda, kriyoablasyon akciğer, böbrek, kas, kemik, meme, yumuşak doku ve pankreas tümörlerinde yaygın olarak kullanılmıştır.
Kriyoablasyonda tümöre yerleştirilen iğnelere radyofrekanstaki gibi “prob” ya da “kriyoprob” adı verilir. Kriyoproblar düz iğne şeklindedir ve yukarıda da belirtildiği gibi içlerinde yüksek basınçlı Argon gazının geçtiği daha ince bir kanal vardır. Kriyoablasyondaki ablasyon alanı iğnenin tipine göre 2-3cm arasında değişmektedir ve radyofrekans ve mikrodalgaya göre biraz daha daha küçüktür. Ancak iğne sayısı artırılarak ablasyon alanı büyütülebilir ve şekli değiştirilebilir. Örneğin tek iğne kullanıldığında yaklaşık 2 cm olan ablasyon çapı 4 iğne kullanıldığında 5 cm ye ulaşır ve böylece büyük tümörleri de tedavi etmek mümkün olabilir. Günümüzde kullanılan kriyoablasyon cihazlarına aynı anda 25 kriyoprob bağlanabilir ve çok büyük tümörlerde de perkütan ablasyon uygulanabilir.
Kriyoablasyonda, iğne sayısı artırılarak ablasyon alanı genişletilebilir. Böylece, büyük tümörler de tedavi edilebilir.
Kriyoablasyon işlemi, soğuğun doğal ağrı azaltıcı etkisinden dolayı sadece lokal anestezi ile yapılabilir. Bir cm den küçük tümörlerde tek iğne yeterli olabilir, daha büyük tümörlerde ise birden fazla iğne kullanılmalıdır. Bu iğneler ultrason ya da tomografi rehberliğinde tümöre yerleştirildikten sonra cihaz çalıştırılır. Kriyoablasyon sırasında oluşan buztopu (iceball) ultrason, tomografi ve emar da kolayca görülebilir. Böylece ablasyon alanının tümörü tamamen kaplayıp kaplamadığı anında anlaşılabilir. Buztopunun en dış kenarında sıcaklık 0 derece iken merkezinde eksi 40-80 derece arasında değişir. Ablasyonun garanti olması için, işlem sırasında buztopunun tümör kenarlarını en az 0.5 cm kadar aşması arzu edilir. Kriyoablasyon sırasında genellikle 10 dakika dondurma, 10 dakika eritme ve 10 dakika ikinci kez dondurma protokolü uygulanır, dolayısıyla ablasyon süresi ortalama yarım saat kadar sürer.
Kriyoablasyonda, ablasyon alanı net olarak görülebilir. Bu nedenle, hassas bölgelerde daha emniyetli olarak uygulanabilir
Bu avantajlarına karşılık kriyoablasyonun iki dezavantajı vardır. Birincisi, ablasyon süresi daha uzundur, ikincisi de maliyeti daha fazladır. Maliyet özellikle çok sayıda kriyoprob kullanılması gereken durumlarda artabilir.
Pankreas kanserinde kriyoablasyon (dondurma) tedavisi
Kriyoablasyon tümör dokusunun -140 ile -200 arası derecelerde dondurularak öldürülmesine dayanan bir ablasyon yöntemidir. Prostat kanseri ve böbrek kanseri gibi bir çok kanser türünde on yıllardır kullanılan etkili ve güvenli bir yöntemdir. Teknolojideki gelişmeler sonucunda akciğer kanseri, sarkomlar ve meme kanserinde de uygulanan bu yöntem merkezlerimizde 2014 yılından beri pankreas kanserinde de aralıksız olarak başarıyla kullanılmaktadır.
Pankreas kanserinde neden kriyoablasyonu tercih ediyoruz?
1. Kriyoablasyon lokal anestezi altında iğne deliğinden yapılır, işlem sadece 1-2 saat sürer.
2. İşlem sırasında ve sonrasında ağrı çok azdır. Soğuğun doğal lokal anestezik etkisi ağrıyı önler.
3. İşlem sırasında dondurulan alan ultrason ve tomografide net olarak görülür. Bu alan istenildiği gibi küçültülüp büyütülerek çevre dokuya zarar vermeden maksimum etki sağlanır.
4. Hasta aynı gün ya da bir gün merkezimizde kaldıktan sonra normal yaşamına dönebilir.
5. Kriyoablasyon pankreas kanserine bağlı ağrıyı gidermede en etkili yöntemlerden biridir. Kriyoablasyon sonrası ağrısı azalan hastanın kemoterapi gibi diğer tedavileri alması kolaylaşır.
6. Kriyoablasyonla pankreastaki kitlenin yaklaşık %80-90 ı dondurularak öldürülebilir. Gerekirse radyoterapi ve tümör içi immünoterapi yöntemleriyle desteklenerek uzun süreli lokal tedavi sağlanabilir.
7. Kanser nüks ederse kriyoablasyon aynı bölgede defalarca tekrarlanabilir.
Hangi hastalarda uygundur?
Kriyoablasyon tedavisi en çok evre 3 (lokal ileri evre) pankreas kanserlerinde uygundur. Bu evrede, tümör pankreasın etrafındaki büyük damarları sarmıştır ve ameliyata uygun değildir. Bu hastalarda, bu damarlara hiç bir zarar vermeden bu bölgedeki tümörün %80-90 ını dondurarak öldürmemiz mümkün olmaktadır. Kriyoablasyondan hemen önce merkezimizde tüm hastalara çölyak ganglion blokajı yapılmaktadır. Amaç, işlem sırasında ve sonrasında hastanın duyacağı ağrıyı minimize etmektir. Blokaj + kriyoablasyon kombinasyonu pankreas kanseri ağrısında en etkili lokal tedavi yöntemidir. Evre 3 hastalarda pankreas kriyoablasyon işlemi yaklaşık 1.5 saat kadar sürer, işlem sırasında blokaj yanında hasta konforu açısından bir miktar sedasyon da verilir. İşlemden sonra hasta 3-4 saat kadar gözetim altında tutulduktan sonra ciddi bir şikayeti olmazsa evine gidebilir.
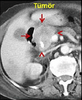
Pankreas başı kanseri (kırmızı oklar) olan hastamıza 2 probla kriyoablasyon yapılıyor.
İşlem sırasında çekilen tomografide kriyoabalasyonun oluşturduğu buztopu izleniyor.
Kriyoablasyon tedavisini ne zaman yapmak idealdir?
Bir hastada pankreas kanseri saptandıktan sonra, hasta ameliyata uygun değilse (%85 değildir) genellikle kemoterapiye başlanır. Ablasyon tedavilerini kemoterapi bittikten sonra ya da kemoterapi aralarında yapmamız mümkündür. Ancak bu seçenek aşağıdaki nedenlerden dolayı ideal değildir;
1. Kemoterapi uygulanan bazı hastalarda enfeksiyon, kan değerlerinin düşmesi ve genel durumun bozulması görülebilir. Bazen ilk seansta ortaya çıkabilen bu durumlar, özellikle enfeksiyon ve trombosit düşmesi ablasyon tedavisine engel olabilir ya da işlem riskini artırabilir.
2. Kemoterapi bazen karaciğerdeki metastazların ultrason ile görülmesini zorlaştırabilir ve ablasyon işlemini güçleştirebilir.
3. Hastada kemoterapi cevap vermezse, mevcut tümörler daha da büyüyebilir ve yayılabilir. Bu durum ablasyon tedavisini zorlaştırabilir veya imkansız hale getirebilir.
Bu nedenlerden dolayı, eğer tanı anında hasta ablasyon tedavisine uygunsa, tüm hastalarımızda önce kriyoablasyon yapılmasını sonra da diğer tedavi yöntemlerinin uygulanmasını öneriyoruz.