Prof Dr Saim Yılmaz

“Miyom embolizasyonudan sonra kontrol MR filmi ile yapılmalıdır”

33 yaşında, adet uzaması, kansızlık ve sık idrara çıkma şikayetleri var. Emar’da idrar kesesine bası yapan dev miyom (*) mevcut. Miyomektomi önerilmiş, ancak gerekirse rahimin alınabileceği söylenmiş. Embolizasyondan sonra miyomun öldüğü ve küçüldüğü izleniyor. İşlemden 5 ay sonra hasta şikayeti kalmamıştır.

32 yaşında, adet kanamalarında artma ve kansızlık şikayetleri mevcut. Emar’da 2 adet intramural miyom (*) izleniyor. Miyomektomi önerilmiş, ancak gerekirse rahimin alınabileceği söylenmiş. Embolizasyondan sonra miyomların öldüğü ve küçüldüğü izleniyor. İşlemden 2 ay sonra hastanın adetleri normalleşmiştir.

41 yaşında, kabızlık, gaz ve sık idrara çıkma şikayetleri var. Emar’da karını dolduran dev miyom (*) mevcut. Miyomektomi önerilmiş, ancak operasyonda rahimin alınabileceği söylenmiş. Embolizasyondan sonra dev miyomun ve bir başka küçük miyomun öldüğü ve küçüldüğü izleniyor. 7 ay sonra hasta şikayeti kalmamıştır.

37 yaşında, kansızlık, gaz, sık idrara çıkma şikayetleri ve hamilelik arzusu var. Miyomektomi önerilmiş, ancak operasyonda rahimin alınabileceği söylenmiş. Emar’da tek, dev bir miyom (*) mevcut. Tek seans perkütan ablasyon sonrası miyomun belirgin küçüldüğü izleniyor. İşlemden 2 yıl sonra hasta hamile kalmıştır.

44 yaşında, kabızlık, gaz, sık idrara çıkma şikayetleri mevcut. Emar’da idrar kesesine bası yapan 3 miyom (*) izleniyor ve tek çare olarak histerektomi öneriliyor. Embolizasyondan sonra miyomların öldüğü ve küçüldüğü izleniyor. İşlemden 6 ay sonra hasta şikayetleri tama yakın azalmıştır.

32 yaşında, kansızlık, gaz, sık idrara çıkma şikayetleri var. Emar’da 9 cm çaplı tek miyom (*) mevcut. Tek seans perkütan ablasyon sonrası miyomun belirgin küçüldüğü izleniyor. İşlemden 5 ay sonra hasta şikayetleri kalmamıştır.

47 yaşında, adet uzaması, kansızlık, gaz, sık idrara çıkma şikayetleri olan ve daha önce 3 kez miyomektomi olan hasta. Emar’da idrar kesesine bası yapan miyomlar (*) mevcut. Embolizasyondan sonra miyomların öldüğü ve küçüldüğü izleniyor. 4 ay sonra hasta şikayeti kalmamış ve 3 yıllık takip boyunca tekrarlama olmamıştır

39 yaşında, kabızlık, gaz ve sık idrara çıkma şikayetleri var. Emar’da karını dolduran dev miyom (*) mevcut. Miyomektomi önerilmiş, ancak gerekirse rahimin alınabileceği söylenmiş. Embolizasyondan sonra dev miyom yanında bir başka küçük miyomun da öldüğü ve küçüldüğü izleniyor. 6 ay sonra hasta şikayeti kalmamıştır.

32 yaşında, adet kanamalarında artma, kansızlık ve sık idrara çıkma şikayetleri var. Emar’da 8 cm çaplı tek miyom (*) mevcut. Miyomektomi önerilmiş, ancak operasyon sırasında gerekirse rahimin alınabileceği söylenmiş. Tek seans perkütan ablasyon sonrası miyomun öldüğü ve belirgin küçüldüğü izleniyor. 3 ay sonra hasta şikayetleri kalmamıştır.

40 yaşında, kabızlık ve sık idrara çıkma şikayetleri var. Emar’da karını dolduran dev miyom (*) mevcut. Tek çare olarak histerektomi önerilmiş. Embolizasyondan sonra dev miyomun ve daha önce görülmeyen diğer miyomların ( ) öldüğü ve küçüldüğü izleniyor. 10 ay sonra hasta şikayetleri kalmamıştır.

30 yaşında, adet uzaması, kansızlık ve sık idrara çıkma şikayetleri olan ve daha önce 2 kez miyomektomi olan hasta. Emar’da idrar kesesine bası yapan büyük miyom (*) mevcut. Embolizasyondan sonra miyomun öldüğü ve küçüldüğü izleniyor. İşlemden 6 ay sonra hasta şikayeti kalmamış ve 3 yıllık takip boyunca yeni miyom oluşmamıştır.

39 yaşında, kanama, kansızlık ve sık idrara çıkma şikayetleri var. Miyomektomi önerilmiş, ancak gerekirse rahimin alınabileceği söylenmiş. Emar’da 6 cm çaplı tek miyom (*) mevcut. Tek seans perkütan ablasyon sonrası miyomun belirgin küçüldüğü izleniyor. İşlemden 6 ay sonra hasta şikayetleri belirgin azalmıştır.

47 yaşında, adet uzaması, kansızlık, gaz, sık idrara çıkma şikayetleri var. Emar’da rahimi dolduran çok sayıda miyom (*) mevcut. Tek çare olarak histerektomi önerilmiş. Embolizasyondan sonra miyomların öldüğü ve küçüldüğü izleniyor. İşlemden 4 ay sonra hasta şikayeti kalmamıştır.

44 yaşında, kabızlık, gaz ve sık idrara çıkma şikayetleri var. Emar’da rahimin tamamını dolduran sayısız miyom mevcut. Tek çare olarak histerektomi önerilmiş. Embolizasyondan sonra miyomların tümünün öldüğü ve küçüldüğü (*), rahim dokusunun ise tamamen canlı olduğu (*)izleniyor. İşlemden 6 ay sonra hastanın tüm şikayetleri geçmiştir.

37 yaşında, adet uzaması, kansızlık ve sık idrara çıkma şikayetleri var. Emar’da idrar kesesine bası yapan 8 cm çaplı miyom (*) mevcut. Miyomektomi önerilmiş, ancak gerekirse rahimin alınabileceği söylenmiş. Embolizasyondan sonra miyomun öldüğü ve küçüldüğü izleniyor. İşlemden 6 ay sonra hasta şikayeti kalmamıştır.

43 yaşında, şiddetli adet ağrısı, aşırı kanaması ve kansızlığı olan hastada Emar’da yaygın adenomiyozis ()+ miyomlar (*) görülüyor ve histerektomi öneriliyor. Embolizasyondan 6 ay sonra çekilen Emar’ da adenomiyozis alanlarının küçüldüğü, miyomların da öldüğü izleniyor. 1 ay sonra hastanın tüm şikayetleri geçmiştir.

28 yaşında, kansızlık ve sık idrara çıkma şikayetleri var. Emar’da 7 cm çaplı tek miyom (*) mevcut. Miyomektomi önerilmiş, ancak gerekirse rahimin alınabileceği söylenmiş. Tek seans perkütan ablasyon sonrası miyomun öldüğü ve küçüldüğü izleniyor. 7 ay sonra hasta şikayetleri kalmamıştır.

40 yaşında, şiddetli adet ağrısı, aşırı kanaması olan ve çocuk isteyen hastada Emar’da yaygın adenomiyozis () görülüyor ve histerektomi öneriliyor. Embolizasyondan 6 ay sonra çekilen Emar’ da adenomiyozis alanının belirgin küçüldüğü (V)izleniyor. Tüm şikayetleri geçen hasta 2 yıl sonra ikiz doğum yapmıştır.

44 yaşında, aşırı adet kanaması ve kansızlık şikayetleri mevcut. Emar’da 2 adet submuköz miyom (*) izleniyor. Embolizasyondan sonra miyomların birinin vajinadan atıldığı, diğerinin de küçüldüğü izleniyor. İşlemden 2 ay sonra hastanın adetleri tamamen normalleşmiştir.

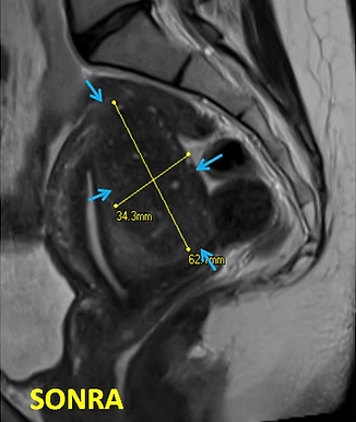
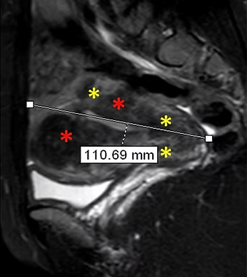
29 yaşında, adet uzaması, kansızlık ve sık idrara çıkma şikayetleri olan ve daha önce 2 kez miyomektomi olan hasta. Emar’da idrar kesesine bası yapan 85mm çaplı miyom (*) mevcut. Embolizasyondan sonra miyomun öldüğü ve küçüldüğü izleniyor. 7 ay sonra hasta şikayeti kalmamış ve 4 yıllık takip süresince yeni miyom oluşmamıştır.

45 yaşında, adet uzaması, kansızlık, gaz ve sık idrara çıkma şikayetleri var. Emar’da rahimin tamamını dolduran sayısız miyom mevcut. Kendisine tek çare olarak histerektomi önerilmiş. Embolizasyondan sonra miyomların tümünün öldüğü ve küçüldüğü (*), rahim dokusunun ise tamamen canlı olduğu (*) izleniyor. İşlemden 8 ay sonra hastanın tüm şikayetleri geçmiştir.